Root Canal – Endodontics
Don’t suffer with oral pain or discomfort!
Call us today.
Root canal treatment
Has your dentist or endodontist told you that you need root canal treatment? If so, you’re not alone. Millions of teeth are treated and saved each year with root canal, or endodontic, treatment. Learn how root canal treatment can relieve your tooth pain and save your smile.
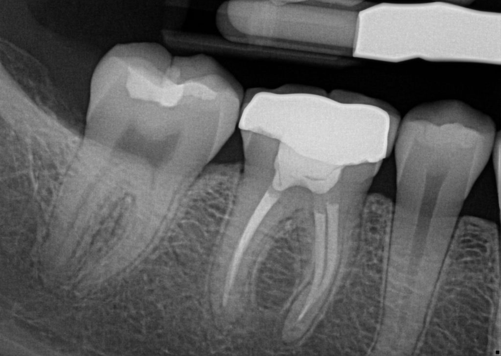
To understand a root canal procedure, it helps to know about the anatomy of the tooth. Inside the tooth, under the white enamel and a hard layer called the dentin, is a soft tissue called the pulp.
The pulp contains blood vessels, nerves and connective tissue, and helps to grow the root of your tooth during development. In a fully developed tooth, the tooth can survive without the pulp because the tooth continues to be nourished by the tissues surrounding it.
Hoe does root canal treatment save my tooth?
During root canal treatment, the inflamed or infected pulp is removed, and the inside of the tooth is carefully cleaned and disinfected, then filled and sealed with a rubber-like material called gutta-percha. Afterwards, the tooth is restored with a crown or filling for protection. After restoration, the tooth continues to function like any other tooth.
Are root canals painful?
The myth of excruciating root canal pain is outdated. Modern dentistry utilizes effective anesthetics, rendering the procedure virtually painless for most patients. In fact, root canals often alleviate pre-existing toothaches caused by infected pulp. Post-treatment discomfort is typically mild and short-lived, a small price for saving a damaged tooth.


